آپارات
کانال تلگرام
اينستاگرام
خرداد, 1397 بدون نظر روش های درمان, مراقبت و نگهداری, مقالات دندانپزشکی, نکات دندانپزشکی

درمان لبخند لثه ای(ژنژیوکتومی )

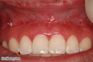
لبخند لثه‌ای به حالتی گفته می‌شود که بخش زیادی از بافت لثه هنگام لبخند زدن مشخص شود و نسبت بین لثه به دندان متناسب نباشد.

اگر چه لبخند لثه‌ای گونه‌ای عادی از آناتومی انسان محسوب می‌شود،

اما بسیاری از افراد دارای لثه‌های بزرگ لبخند خود را با خجالت می‌پوشانند،

از چهره خود رضایت ندارند و از کمبود اعتماد به نفس رنج می‌برند.

چنین افرادی همواره در آرزوی راهکاری برای تغییرلبخندشان هستند.

خبر خوش ما برای این عزیزان این است که خوشبختانه لبخند لثه‌ای اصلاح‌ناپذیر و بدون درمان نیست.

لبخند لثه‌ای چیست؟

لبخند در صورتی لثه‌ای توصیف می‌شود که بخش قابل توجهی از بافت لثه هنگام لبخند زدن به چشم بیاید.

لبخند لثه‌ای به خودی خود خطرناک نیست و آسیبی به سلامت دندان‌ها وارد نمی‌کند و مدت‌ها است که دندانپزشکان آن را گونه‌ای طبیعی از آناتومی انسان به شمار می‌آورند.

با این حال توصیه می‌شود که علت لبخند لثه‌ای را پیدا کنید و برای درمان آن و برخورداری از لبخندی زیبا اقدام کنید.

علل

لبخند لثه‌ای علل مختلفی دارد که از آن جمله می‌توان به موارد زیر اشاره کرد:

  • رشد بیش از حد بافت لثه (هیپرپلازی) به دلیل مصرف داروهایی مانند دیلانتین، سیکلوسپورین و انواع مسدود کننده‌های کانال کلسیم
  • رشد بیش از حد بافت لثه به دلیل درمان ارتودنسی
  • التهاب ناشی از کوتاهی در رعایتبهداشت دهان و دندان، بیماری لثه یا نقص درمان‌های ترمیمی دندان
  • بزرگ بودن مادرزادی لثه به دلیل وراثت و اختلال‌های متابولیک
  • تغییرات رشدی استخوان فک بالا
  • بیش فعال بودن عضله لب بالا باعث می‌شود لب بالا بیش از حد طبیعی هنگام لبخند زدن از روی دندان‌ها بالا برود.
  • مال اکلوژن (اختلال بایت و روی هم قرار نگرفتن دندان‌ها)
  • رشد بیش از حد استخوان (اگزوستوز) روی سطح خارجی استخوان فک بالا

انواع

 لبخند لثه‌ای بر اساس مقیاس تعریف شده طبقه‌بندی می‌شود.

در این مقیاس میزان بافت نمایان لثه برحسب درصد بلندی دندان اندازه‌گیری می‌شود.

به عبارت دیگر طبقه‌بندی لبخند لثه‌ای مبتنی بر میزان بافت لثه‌ای است که نسبت به ساختار مشخص دندان هنگام لبخند زدن دیده می‌شود.

شدت لبخند لثه‌ای می‌تواند خفیف، متوسط، پیشرفته یا شدید باشد.

مزایای اصلاح لبخند لثه‌ای

شماری از مزایای درمان لبخند لثه‌ای به شرح زیر است:

  • اصلاح خط ناهموار لثه
  • برداشتن بافت اضافی لثه که باعث نازیبا شدن لبخند می‌شود.
  • اصلاح لبخند لثه‌ای عملی تقریباً بدون درد است که در مطب دندانپزشکی قابل انجام است.
  • زیباتر شدن لبخند و چهره بیمار
  • افزایش اعتماد به نفس
  • سریع و کوتاه بودن دوران بهبود و التیام

متقاضی درمان لبخند لثه‌ای

  • شرط اصلی انجام درمان داشتن لثه‌هایی سالم و عدم ابتلا به بیماری‌های لثه است.
  • برخورداری از سلامت عمومی مناسب برای تحمل عمل جراحی
  • همکاری و تمایل بیمار برای رعایت توصیه‌های دندانپزشک درباره مراقبت پس از جراحی
  • داشتن انتظاری واقع بینانه از نتیجه درمان
  • تعهد بیمار به رعایت بهداشت دهان و دندان به منظور حفظ سلامت دندان‌ها و لثه‌ها پس از عمل

درمان

ارتودنسی

متخصص ارتودنسی دندان‌ها را پس از ارزیابی سیم‌کشی می‌کند تا دندان‌ها بیرون بزند و با مشخص شدن بخش بیشتری از دندان‌ها برزگ بودن لثه کمتر جلب توجه کند.

اصلاح لبخند لثه‌ای به روش ارتودنسی درمانی غیرتهاجمی و در عین حال زمان‌بر است، که ممکن است ماه‌ها یا حتی سال‌ها به طول بیانجامد.

دیگر مزیت ارتودنسی این است که می‌توان هر گونه مشکل به‌هم فشردگی و بی‌نظمی دندان‌ها یا بایت را همزمان با اصلاح لبخند درمان کرد.

عمل جراحی لثه با لیزر یا چاقوی جراحی

متخصص لثه بافت اضافی لثه را با لیزر یا چاقوی جراحی برمی‌دارد.

این جراحی عمل راحتی است و نتایج آن آنی است. با این حال باید به این نکته توجه کنید که اگر مقدار زیادی استخوان زیر لثه وجود داشته باشد،

لثه دوباره در محل اولیه رشد می‌کند و به ناچار باید عمل جراحی لثه (ژنژیوکتومی) پس از چند ماه تکرار شود.

جراحی افزایش طول تاج دندان

چنانچه لبخند لثه‌ای پیشرفته‎تر باشد،

باید مقدار بیشتری از بافت لثه برداشته شود.

برای این کار عملی موسوم به جراحی افزایش طول تاج دندان انجام می‌شود.

این جراحی تحت بی‌حسی موضعی انجام می‌شود تا بیمار کاملاً راحت باشد. بافت لثه به آرامی از روی استخوان زیرین بلند می‌شود.

بافت نرم برداشته می‌شود و بخشی از استخوان زیر لثه دستکاری می‌شود.

سپس بافت لثه شکل داده و میزان می‌شود و در موقعیت مطلوب قرار می‌گیرد.

پس از این درمان دندان‌ها بلندتر دیده می‌شود و لثه‌ها کمتر جلب توجه می‌کند.

جراحی عمودی فک بالا

چنانچه لبخند لثه‌ای پی‌آمد رشد بیش از حد فک بالا باشد،

جراح دهان و دندان فک بالا را کوتاه می‌کند و آن را به سمت بالا می‌برد.

این عمل تحت بیهوشی عمومی انجام می‌شود و چون کاملاً داخل دهان انجام می‌شود، هیچ برشی روی پوست ایجاد نمی‌شود.

جراح ابتدا برشی افقی را در لثه‌های بالای دندان‌ها ایجاد می‌کند تا به استخوان دسترسی پیدا کند.

در مرحله بعد با ابزاری دقیق برش‌های افقی تمیزی را در استخوان فک بالا ایجاد می‌کند

و بخشی از استخوان را برمی‌دارد تا فک بالا کوتاه شود.

پس از جابجا کردن فک و قرار دادن آن در موقعیت دلخواه، جراح فک را با پلیت و اسکرو (پیچ) تیتانیومی به گونه‌ای ثابت می‌کند که تا پایان عمر حرکت نکند.

سپس جراح لثه‌ها را با نخ قابل جذب بخیه می‌زند.

فک پس از التیام یافتن و جوش خوردن استخوان‌ها مانند قبل قوی می‌شود و عملکرد طبیعی را بازمی‌یابد.

جراحی پایین آوردن لب

جراحی پایین آوردن لب عملی است که به منظور کاهش بافت مشخص لثه بر روی بافت نرم انجام می‌شود تا لبخند زیباتر شود.

این جراحی غالباً زمانی انجام می‌شود که لب بالای بیمار بیش فعال بوده و حرکت زیادی داشته باشد یا ناهمخوانی اسکلتی باعث مشخص شدن مقدار زیادی لثه هنگام لبخند زدن بشود.

در این عمل جراحی لب بالا پایین آورده می‌شود تا مقدار کمتری از بافت لثه نمایان شود و لبخندی جذاب‌تر و طبیعی‌تر خلق شود.

جراح ابتدا برشی را در بافت لثه و غشاء مخاطی بروی دندان‌های بالا ایجاد می‌کند تا بتواند بخشی از بافت را بردارد.

سپس جراح لب بالا را در نقطه‌ای پایین‌تر ثابت می‌کند تا لثه‌ها را بیشتر بپوشاند.

جراح پس از آن که لب بالا را به محل جدید بخیه زد،

حرکت عضله‌های مسئول بالا کشیدن لب از روی خط لثه هنگام لبخند زدن را محدودتر می‌کند.

 

ژنژیوکتومی چیست؟

ژنژیوکتومی به جراحی حذف بافت لثه گفته می شود.

این روش زمانی لازم می شود که بافت لثه از دندان کنار رفته است و پاکت های عمیقی بین دندان و لثه شکل گرفته است.

بروز پاکت بین دندان و لثه، تمیز کردن پلاک، کلکولوس و بقایای مواد غذایی در دهان را دشوار می کند.

افزایش عمق پاکت و پلاک بیماری لثه را تشدید می کند و باعث بروز التهاب و عفونت در آن می شود.

روش درمان:

ژنژیوکتومی معمولا قبل از آن انجام می شود که بیماری لثه به استخوان حامی دندان و بافت های اطراف آسیب بزند.

این روش درمانی شامل برداشتن و شکل دهی مجدد به بافت بیمار لثه برای بر طرف کردن پاکت بین لثه و دندان می شود.

با از بین بردن پاکت لثه، ژنژیوکتومی راهی برای دسترسی و دیدن تارتار و صاف کردن خطوط ریشه در اختیار دندانپزشک قرار می دهد.

این روش امکان بهبودی و بازگشت ظاهر طبیعی لثه را فراهم می کند.

درمان لبخند لثه ای:

از این روش تنها برای درمان بیماری های لثه استفاده نمی شود.

با وجودی که ژنژیوکتومی در ابتدا برای درمان بیماری های پریودنتال ابداع شد،

امروزه یکی از روش های رایج در جراحی زیبایی لثه است.

از این روش برای برداشتن بافت اضافی لثه و بهبود ظاهر لبخند بیمار استفاده می شود.

بنابراین یکی از گزینه های درمان لبخند لثه ای به شمار می رود.

ژنژیوکتومی یکی از روش های درمانی در بیماری های لثه است.

از این روش برای معکوس کردن روند بیماری پریودنتال و حفظ سلامت لثه و دندان ها استفاده می شود.

از سوی دیگر این روش یکی از راه های درمان لبخند لثه ای است.

در این روش جراح بافت لثه بیمار را از دور دندان می برد و بافت سالم را مجددا به دور دندان بخیه می زند.

 

 

 

مراقبت های پس از ژنژیوکتومی در روند بهبودی اهمیت زیادی دارد.

مراقبت های پس از ژنژیوکتومی:

خونریزی:

پس از جراحی ژنژیوکتومی، مقدار کمی خونریزی تا ۱ تا ۲ روز پس از درمان مورد انتظار است.

در صورتی که خونریزی دوباره شروع شد، یک گاز مرطوب را روی موضوع قرار دهید.

یک تی بگ سرد نیز برای متوقف کردن خونریزی لثه مفید است.

گاز یا تی بگ را به مدت ۳۰ دقیقه محکم روی موضع گاز بزنید. آن را نجوید.

شستشو:

تا یک روز پس از جراحی، دهان خود را نشویید و مسواک نزنید.

روز پس از جراحی، دهان خود را با محلول آب نمک گرم، هر شش ساعت یک بار، شستشو دهید.

می توانید سایر دندان ها ر با احتیاط مسواک بزنید.

در صورتی که هنوز احساس درد دارید، می توانید مسواک زدن را یک تا دو روز دیگر نیز به تعویق بیاندازید.

تورم:

تورم صورت پس از ژنژیوکتومی طبیعی است و نباید موجب نگرانی شما شود.

یک کمپرس یخ بردارید و ۳۰ دقیقه آن را روی صورت خود قرار دهید.

سپس ۳۰ دقیقه به صورت خود استراحت دهید.

این کار را در ساعات بیداری تا ۲۴ ساعت پس از جراحی انجام دهید.

درد:

برای درد، از داروی های مسکن بدون نسخه که فاقد آسپرین هستند استفاده کنید.

در صورتی که این داروها کافی نیستند،

از دندانپزشک خود برای تجویز یک مسکن قوی تر کمک بگیرید.

رژیم غذایی:

مایعات زیاد مصرف کنید و هر چیزی که تنها به بلعیدن نیاز دارد به خصوص شیر و آبمیوه را مصرف کنید.

شیک ها نوشیدنی های مقوی و مفیدی در این دوره هستند.

خواب:

در هنگام خواب سر خود را با دو بالش بالاتر بیاورید.

اصول کلی مراقبت های پس از ژنژیوکتومی:

به مدت ۲۴ ساعت تف نکنید. این کار خونریزی را افزایش می دهد.

تا ۲۴ ساعت از استعمال دخانیات پرهیز کنید. دخانیات بهبودی زخم را به تاخیر می اندازد و دهان را خشک می کند.

تا ۲۴ ساعت پس از جراحی، از دهانشویه یا هر مایع حاوی الکل خودداری کنید.

الکل نیز ضمن خشک کردن دهان، مانع از بهبودی زخم می شود.

از مراقبت های پس از ژنژیوکتومی این است که مراقب خونریزی زخم باشید.

خم نشوید و اشیا سنگین بلند نکنید یا بالای سر نبرید.

تا ۲۴ ساعت پس از جراحی از نی برای نوشیدن مایعات استفاده نکنید.

نوشیدن با نی، لخته خون تشکیل شده روی زخم را از بین می برد.

در صورتی که تا ۴۸ ساعت پس از جراحی درد شما افزایش یافت،

دندانپزشک را هر چه سریع تر مطلع کنید.

برچسب ها

ارسال نظر شما

نشانی ایمیل شما منتشر نخواهد شد. بخش‌های موردنیاز علامت‌گذاری شده‌اند *