آپارات
کانال تلگرام
اينستاگرام
آذر, 1397 بدون نظر دسته‌بندی نشده

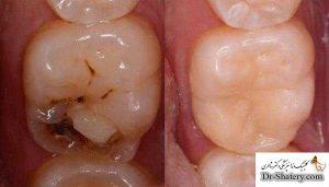
پوسیدگی مینا در چند مرحله صورت می­گیرد و از ایجاد یک حفره اغاز می­شود، بطوریکه با اقدام اولیه می­توان از پیشرفت آن جلوگیری کرد. یک پوشش سخت و معدنی برای محافظ خمیره و عاج دندان، برای محافظت لایه­های نرم درونی دندان است. و وقتی که اسیدها به مینای دندان حمله می­کنند، باعث تغییر رنگ آن می­شود. این اولین نشانه از پوسیدگی مینا است.

مینای دندان

مینای دندان سخت­ترین ماده در بدن شما است. این موادهای کریستال مانند که بیشتر از یک ماده معدنی به نام هیدروکسی آپاتیت، که همچنین شامل مقادیر کمتری از مواد معدنی مشابه است. رنگ طبیعی محدوده مینای دندان از نور زرد مایل به خاکستری به سفید؛ به دلیل آن نیمه شفاف است، رنگ سطح درونی دندان به ظاهر کلی آن کمک می کند.

مینای دندان حاوی سلولهای زنده نیست، بنابراین شما نشانه های اول پوسیدگی انرا حس نمی­کنید. مینای دندان تحت شرایط اسیدی به آرامی خورده شده، و زمانیکه بطور کامل ضعیف شد، دیگر رشد نخواهد کرد.

باکتری دهان

“استرپتوکوکوس موتانس” باکتری مسئول پوسیدگی مینای دندان است، و در دهان زندگی می­کند و از زمان کودکی در دندان خود وجود دارد. با توجه به کالج کارینگتون، استرپتوکوکوس موتانس با قندها و نشاسته در مواد غذایی ترکیب شده و پلاک به آن پایبند خواهد شد. هنگامی که پلاک به میله­های مینای دندان بچسبد، دیگر باکتری درون دهان ساکن است. استرپتوکوکوس موتانس، این باکتری تبدیل قند موجود در مواد غذایی را به اسید لاکتیک تبدیل کرده، که باعث غیرمعدنی شدن مینای دندان می­شود.

مراحل پوسیدگی دندان مینا

در مراحل اولیه آن، پوسیدگی مینای دندان قابل برگشت است. حفره خیلی زود ایجاد می­شود، با این حال، و تنها یک دندانپزشک می تواند آسیب را درمان کند. هنگامی که اسید لاکتیک مواد معدنی در مینای دندان شما را تجزیه می­کند، سطح آن سفید می­شود، اما متاسفانه نه آن سفیدی که شما می­خواهید. اولین نشانه پوسیدگی در واقع یک پچ های سفید بر روی دندان است، و در این مرحله، بهبود عادات بهداشت دهان و دندان خود و درمان برای جلوگیری از پیشرفت پوسیدگی بسیار حیاتی است.

در مراحل دوم و سوم پوسیدگی مینای دندان، مرکز پزشکی دانشگاه روچستر توضیح می­دهد که، منطقه آسیب­دیده به رنگ قهوه­ای روشن و سپس تیره تغییر رنگ می­دهد. سپس مینای دندان عقب نشینی کرده و اجازه می­دهد که اسیدهای وارد قسمت داخلی نرم دندان توسط حفره شوند. بدون درمان این حفره بزگتر شده و دندان دردناک می­شود.

جلوگیری از پوسیدگی مینا

مینای دندان می­تواند مجددا رشد کند، اما در نقاط باقی مانده و با کمک فلوراید این تجدیدسازی صورت می­گیرد. با توجه به مطالب دانشگاه سانتا باربارا، بارها و بارها مینای دندان حتی در حضور مقادیر کم فلوراید هم اقدام به رشد کریستال و تجدیدسازی می­کند.

مسواک زدن دوبار در یک روز با یک خمیردندان حاوی فلوراید بطور منظم میزان فلوراید را تامین کرده و همچنین یک بار نخ دندان در طول روز، به دندانها کمک می­کند تا دربرابر پلاکها و اسیدها مقاوم باشند. با استفاده از یک دهان­شویه حاوی فلوراید می­توان مانع پیشرفت پوسیدگی دندان شد. دندانپزشک شما می­تواند با تجویز دهان­شویه حاوی فلوراید محافظت بیشتر دندان و تجدیدسازی مینای دندان شما را فراهم کند.

مینای دندان یک ماده سخت است، اما هنوز هم نیازمند مراقبت است. مراقبت خوب از دهان خود می­تواند حمله اسیدی را دفع کند، اما شما همچنین باید دندانهای خود را مورد بازدید قرار دهید تا مناطق سفید و قهوه­ایی که نشان دهنده پوسیدگی مینای دندان است را تشخیص دهید. در این الت دندانپزشک شما است که با استفاده از علائم هشدار دهنده به شما کمک می­کند که از مینای دندان خود محافظت کنید.

 

ارسال نظر شما

نشانی ایمیل شما منتشر نخواهد شد. بخش‌های موردنیاز علامت‌گذاری شده‌اند *